A angiografia ocular tem por base a aplicação de um corante na corrente sanguínea, que é capaz de gerar um contraste, capturado em imagens nítidas dos vasos sanguíneos do paciente. Neste caso, é um processo eficiente para diagnosticar diversas doenças relacionadas a problemas nessa circulação. Convidamos a ler este artigo para que possa entender melhor sobre o que é e como funciona este processo.
O que é a Angiografia ocular?
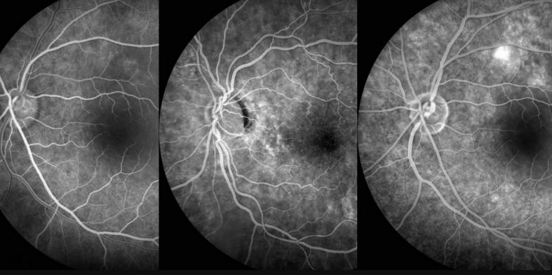
A angiografia ocular ou Angiofluoresceinografia é um tipo de exame oftalmológico utilizado para medir a ocorrência do fluxo sanguíneo presente nos vasos da retina e do coróide. Assim, o objetivo deste teste é justamente diagnosticar diversos problemas relacionados a essa área ocular.
Além disso, este também é bastante eficiente para avaliar qual o sucesso de determinados tratamentos utilizados para a correção de algum erro nessa região do olho. Afinal, ele é capaz de registar os detalhes de toda a circulação retiniana e do epitélio pigmentar.
Neste contexto, o paciente acaba por receber, via administração endovenosa, a fluoresceína, que é um tipo de molécula fluorescente que oferece bastante segurança, e que deixa os vasos sanguíneos oculares brilhantes. Então, é possível realizar o registo com imensos detalhes de todo o fundo do olho. E, com isso, obter imagens precisas, e que permitem um diagnóstico eficiente de diversas doenças oculares.
A identificação dessas doenças no fundo do olho acabam por ser bem mais precisas através deste exame. Isto dado que, o médico consegue observar o contraste da corrente sanguínea, devido a aplicação do corante, que torna os vasos mais destacados para a lente do equipamento do exame.

É de salientar, porém, que este não é um processo exclusivo apenas para o olho. Pois a angiografia conta com utilizações em diversas outras áreas do corpo humano. Mas, é sempre usado com o mesmo método, de contraste da corrente sanguínea, por meio da aplicação de corantes específicos.
Como funciona o exame no corpo?
De uma forma geral, a Angiografia é um exame utilizado em diversas regiões do corpo, como pulmão, cérebro, coração, etc. E, de modo geral, utiliza os mesmos princípios, que é a aplicação de um corante fluorescente, que deixa os vasos sanguíneos mais visíveis.
Para isso, é claro, utiliza-se raios x, com o objetivo de visualizar e também de analisar algumas possíveis alterações presentes nos vasos sanguíneos. Então, o objetivo é justamente diagnosticar diversas doenças relacionadas a esse fluxo do sangue, como aneurismas, por exemplo.
Como funciona a Angiografia ocular?
A angiofluoresceinografia, como também se conhece o exame, possui uma aplicação muito similar ao restante do corpo. Afinal, o princípio base do método é justamente avaliar o fluxo dos vasos sanguíneos, através de um contraste pela aplicação de algum corante de aplicação endovenosa.
Assim, no caso da Angiografia ocular, utiliza-se um equipamento digital, capaz de capturar imagens do fundo do olho. A sua aplicação é bastante variada, sendo bastante utilizada em pacientes com hemorragias, isquemia ou distúrbios circulatórios na retina ocular, que é onde se concentra o exame.
Para tal, aplica-se fluoresceína ou então a indocianina verde, diretamente na veia do paciente. Além disso, aplica-se também um colírio, com o objetivo de dilatar a pupila, fazendo com que esta fique em midríase, bastante dilatada (independentemente da luz).
Afinal, quando em miose (contraída) fica bem mais difícil visualizar o fundo do olho de forma eficiente através do equipamento. Então, a aplicação da fluoresceína ocorre em alguma veia periférica, como no antebraço ou até mesmo na mão. Assim, há um estímulo desse corante, através de uma luz azul.
Desta forma, este acaba emitindo fótons mais visíveis para o equipamento, que é capaz de capturar a imagem com o contraste dos vasos. Para isso, utiliza-se o angiógrafo, que é o equipamento responsável por realizar as fotografias.
Com isso, o médico consegue avaliar todo o processo do fluxo sanguíneo, desde a fase inicial até à tardia, com a eliminação desse contraste. E, através disso, identificar se tudo está fluindo de forma natural.
Quais doenças o exame pode diagnosticar?
A Angiografia ocular é bastante utilizada para o diagnóstico de diversas doenças na retina e da coróide. Neste caso, trata-se de um processo eficiente, capaz de identificar com maior precisão certas anomalias sanguíneas. Neste caso, doenças como a degeneração macular; a presença de coágulos nos vasos; retinopatia diabética; e também tumores presentes nos olhos.
Se desejar obter mais esclarecimento sobre o assunto utilize o nosso Whatsapp 969 884 965 (chamada para rede móvel nacional) ou contacto direto 222 026 669 – 919 870 967 (chamada para rede fixa e móvel nacional). Os nossos profissionais altamente qualificados vão esclarecer as suas dúvidas.
Confie a sua saúde visual a quem, melhor do que ninguém, conhece os seus olhos!

